Comenzamos febrero de lleno en la segunda ola de infecciones por virus SARS-CoV-2 en nuestro país, y nuestro manejo en el cuidado de los pacientes críticos es clave para facilitar una pronta recuperación o permitir una muerte digna. Después de un año de entrega, hemos aprendido el comportamiento de esta enfermedad, sus factores de riesgo y complicaciones, y sabemos -o creemos saber- su manejo sintomático no invasivo y cuando debemos conectar y cómo manejar el ventilador. Al menos, sabemos más que hace un año…
Tan complejo como la toma de decisiones, es cómo transmitir esta información a la familia. Podríamos relatar muchas anécdotas, curiosas, trágicas o dolorosas, algunas divertidas, demasiadas para llorar. Sin embargo, comentaremos una pregunta que hizo un ingeniero cuyo padre estaba conectado el ventilador, y que creemos puede ser útil para ayudarnos a enfrentar esta segunda ola. Este joven ingeniero, muy inquisitivo y después de algunos minutos al teléfono, preguntó: “…cuáles son los cinco elementos claves para evaluar el estado del paciente y la enfermedad?”. Porqué cinco y no 3, o 7, o 10 nunca lo sabremos, pero su pregunta nos sirvió para ordenar algunas ideas que nos puede ayudar en la toma de decisiones:
1) Oxigenación
Sin duda, la relación PaO2:FiO2 (PaFi) ha sido tema tanto en la conexión al ventilador, como para la toma de decisiones durante su evolución, destete y extubación. Al respecto, la PaFi es un reflejo de las alteraciones del intercambio gaseoso, pero no refleja la presencia de hipoxia tisular. Vale decir, la PaFi es un indicador de gravedad, pero no de la necesidad de intubación, la cual va a depender del trabajo ventilatorio: uso musculatura accesoria (cuello, abdomen, respiración paradojal), signos de activación del sistema simpático (sudoración, taquicardia), compromiso conciencia, acidosis, o hipoperfusión [1].
Además, una PaFi mayor a 150, en especial después de la segunda o tercera semana, debe motivarnos a retirar los sedantes y avanzar en el destete (y no esperar que el paciente tenga una PaFi mayor a 200 o 250). Muchas veces la activación diafragmática o la recuperación de la vasoconstricción pulmonar hipóxica nos mejorará la oxigenación y facilitará la salida del ventilador.
2) Mecánica pulmonar
La mecánica tiene importancia doble. Primero, la distensibilidad del sistema respiratorio nos habla de la severidad del compromiso pulmonar, mientras el mejor nivel de PEEP es titulado según la reclutabilidad. Por otra parte, la presión de distensión nos ayuda (como un objetivo per se) para facilitar una ventilación mecánica segura, sin inducir mayor daño [2].
En el paciente ya en ventilación espontánea o asistida, el trabajo ventilatorio, reflejados en el volumen minuto y la gasometría –particularmente PaCO2 y pH-, está muy influenciado por el metabolismo y espacio muerto, entre otros. El estado de conciencia, la función hemodinámica y estado adrenérgico también están fuertemente conectados con la demanda y patrón ventilatorios.
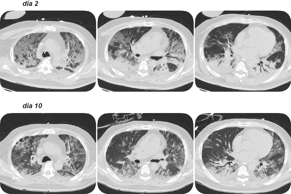
3) Imágenes
Las imágenes, en especial la tomografía computarizada, nos refleja con gran acuciosidad el estadío de la enfermedad, el grado de compromiso pulmonar, la presencia de enfermedad tromboembólica y otras complicaciones. En particular, una imagen en la segunda o tercera semana es fundamental para determinar el grado de organización, y decidir aportes adicionales de esteroides (figura). Sin embargo, la radiación ionizante es un tema que nos obliga a ser juiciosos y prudentes en su indicación.

4) Respuesta inflamatoria
Obviamente, la neumonía por virus SARS-CoV-2genera una respuesta inflamatoria con fiebre, taquicardia, taquipnea, elevación de parámetros inflamatorios (PCR, PCT), etc. De este modo, la evolución en el tiempo de estos parámetros reflejará la evolución de la enfermedad, así como potenciales complicaciones.
Múltiples otros parámetros clínicos y de laboratorio pueden ayudarnos (niveles de LDH, dímero-D, linfocitos, ferritina, etc), pero esta información excede los objetivos de una llamada telefónica [3].
5) Estado cognitivo
Dos estudios recientes muestra una incidencia muy elevada de delirium hiperactivo (52% y 69%), lo que implica agitación y asincronía con el ventilador, mayor sedación, y dificultad en el destete [4,5]. A la inversa, la mejoría en el nivel de conciencia es un parámetro mayor que nos orienta a un paciente que va mejorando.
Aquí quisiera hacer un par de reflexiones: Primero, un alto porcentaje de estos pacientes requiere prono y bloqueo neuromuscular, lo que implica sedación profunda. Sin embargo, una vez pasado este período inicial de prono y con PaFi’s sobre 120 o 140, muchos pacientes pueden estar con sedación superficial. Ello requiere conocer la fisiopatología del Covid-19, su evolución o estadío, y una correcta interpretación de la demanda ventilatoria y la programación del ventilador.
Desafortunadamente, la gran cantidad de pacientes durante estas oleadas ha llevado a una expansión de nuestras Unidades de Pacientes Críticos, sin el adecuado entrenamiento del personal en el manejo de estos pacientes, y que dificulta todo lo anterior. Desde ya, anunciamos nuestro XII Diplomado en Terapia Ventilatoria, esta vez full online.
Pensamientos finales
Sin duda, este listado está incompleto ya que hay muchos otros elementos que podemos y debemos considerar, como la función hemodinámica y de otros sistemas, el apoyo nutricional, la presencia de tromboembolismo, etc. Sin embargo, quisimos resumir los principales elementos que nos orientan a determinar el estadío de la enfermedad, y que deben dirigir el manejo y la toma de decisiones mayores (prono y bloqueo NM vs pasar a ventilación asistida, antibióticos vs pulsos de esteroides, traqueostomía, etc.) en estos pacientes tan complejos.
Un saludo cordial y fuerza para este enrarecido verano
Equipo Terapia Ventilatoria UC
Santiago, 1º de Febrero de 2021
Referencias
1. covid-19-intente-prono-vigil @ terapiaventilatoria.uc.cl [Internet]. Available from: https://piv.medicina.uc.cl/terapia-ventilatoria-uc/articulos/covid-19-intente-prono-vigil/
2. Bugedo G, Retamal J, Bruhn A. Driving pressure: A marker of severity, a safety limit, or a goal for mechanical ventilation? Crit Care. 2017;21.
3. Wiersinga WJ, Rhodes A, Cheng AC, Peacock SJ, Prescott HC. Pathophysiology, Transmission, Diagnosis, and Treatment of Coronavirus Disease 2019 (COVID-19): A Review. JAMA – J Am Med Assoc. 2020;324:782–93.
4. Pun BT, Badenes R, Heras La Calle G, Orun OM, Chen W, Raman R, et al. Prevalence and risk factors for delirium in critically ill patients with COVID-19 (COVID-D): a multicentre cohort study. Lancet Respir Med. 2021;19:1–12.
5. Helms J KSMH et al. Neurologic features in severeSARS-CoV-2 infection. N Engl J Med. 2020;382:2268–70.