La arteriografia de los troncos supra aórticos y de la circulación intracraneana, permite ver con gran resolución los vasos del territorio posterior desde su origen. A la vez permite ver la circulación anterior o carotídea.
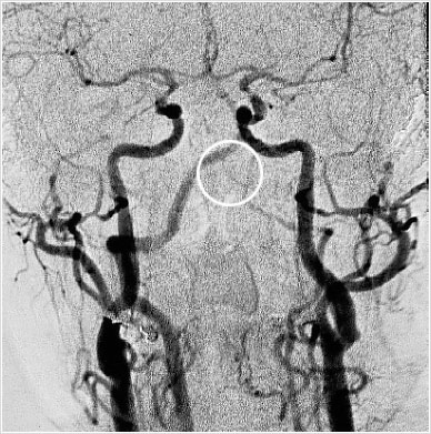
La imagen del arco aórtico y de la porción extra craneana de carótidas y vertebrales (Fig. 3 a), proyección oblicua anterior izquierda, muestra una estenosis crítica de la vertebral derecha en su origen (Fig 3b), asi como también una marcada hipoplasia de la vertebral izquierda. (círculos). En esta proyección también se demuestra una estenosis de ± 50% de la carótida interna en su origen.

Arco aórtico y de la porción extra craneana de carótidas y vertebrales.
En la imagen de la circulación intracraneana (Fig 3 c, visión antero-posterior) se ve claramente la hipoplasia del segmento V4 de la vertebral izquierda.

Circulación intracraneana.
Un Eco Duplex complementario (Figura 4) confirma la estenosis de la vertebral derecha (a), que genera un elevada velocidad sistólica (b), con marcada disminución del flujo distal (c).

Eco Duplex complementario.
A la luz de los hallazgos de los estudios de imagen, cual es a su juicio el mejor tratamiento en este paciente,
Ver respuesta.